ARTERIOGRAFIJA SUPRAAORTALNIH GRANA
-
6.4. MAGNETNA REZONANSA SUPRAAORTALNIH GRANA
(MRI arteriografija)
MAGNETNA REZONANSA SUPRAAORTALNIH GRANA (MRI arteriografija) je moderna i neinvazivna metoda. Jeftinija je od klasične arteriografije. Međutim slaba rezolucija u slučaju teških (multiplih) lezija supraaortalnih grana, značajno limitira njenu primenu. U kombinaciji sa Duplex-sonografijom može da zameni MSCT arteriografiju, pošto uspešno prikazuje lezije tipa elongacije, kinkinga, coilinga i disekcije. MRI arteriografija može da diferencira fibromuskularnu displaziju od arterijske disekcije i hipoplazije arterija sa tipičnom slikom brojaničnih stenoza (“string of beads”). MRI arteriografija može da otkrije tromb u nivou septalne formacije unutrašnje karotidne arterije. Brzina i neinvazivnost MRI arteriografje proširuje mogućnosti dijagnostičke evaluacije i drugih arterija, naročito bubrežnih.
Karakteristični angiografski nalazi fibromuskularne displazije čine: multifoklane stenoze (brojaničaste ili tubularne) sa naizmeničnim smenjivanjem stenotičnih i proširenih segmenata („string-of-beads”), aneurizma, elongacija, kinking, coiling, septum obično u nivou odstupa ACI sa ili bez megabulbusa, disekcija i okluzija.
Karakteristike arteriografskog nalaza kod aorto-arteritisa: U početnoj, infla- matornoj fazi arteriografija može biti uredna. Odmaklu fazu nespecifičnog aorto- arteritisa karakterišu angiografski nalazi multiplih, dugačkih stenoza i okluzija aorte i subklavijalne arterije u svom postvertebralnom segmentu. Zato subclavian steal sindrom nije česta pojava u obolelih od nespecifičnog aorto-arteritisa.

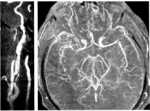
MRI arteriografija:
Levo: stenoza ekstrakranijalnog dela unutrašnje karotidne arterije koja se ne može dovoljno precizno definisati. Desno: stenoza srednje cerebralne arterije.
Pozitronska emisiona tomografija (PET) koristi kombinaciju fizičkih i hemijskih osobina pozitronima-obeleženih čestica. Pozitron-emitujući izotop se prati u cirkulaciji i metabolizmu mozga. Dobija se slika se kvantitativnim podacima. Moguće je ispitivati odnos između protoka krvi, metabolizma i funkcije tokom cerebralne ishemije.
Pozitronska emisiona tomografija daje informacije o: sekvenci patofizioloških lezija kod cerebralne ishemije, sa vremenskom dinamikom, regionalnom cerebralnom protoku, utilizaciji i ekstrakciji kiseonika iz arterijske krvi u moždanom tkivu, utilizaciji glikoze, očuvanosti integriteta krvno-moždane barijere, lokalnoj acido-baznoj ravnoteži u zoni reverzibilne i/ili ireverzibilne ishemije. Tomografsko merenje cerebralnih protoka, metabolizma kiseonika, ekstrakcione frakcije kiseonika kao i ključnih faza u metabolizmu glikoze (glikoliza i glikoneogeneza) pruža informacije o stepenu funkcionalnosti pojedinih moždanih regija. Pacijenti sa redukovanom moždanom perfuzijom imaju snižen metabolizam kiseonika, povećanu ekstrakcionu frakciju kiseonika
i povećan cerebralni krvni volumen u ishemičnom arealu. Patognomoničnim znakom, među PET nalazima, smatra se porast ekstrakcione frakcije kiseonika. Tkivna vijabilnost je zbog ishemije u tom slučaju ugrožena. Ovakvi bolesnici imaju hemodinamsku insuficijenciju cerebralne perfuzije (”misery perfusion”). Upravo oni bi imali najviše koristi od pravovremene revaskularizacije, naravno ako ispunjavaju kliničke i arteriografske kriterijume.
Za sad je pozitronska tomografija skupa i ekskluzivna metoda, ali već do sada je bitno rasvetlila funkcionisanje ishemičnog mozga.