Skip to main content

ARTERIOGRAFIJA SUPRAAORTALNIH GRANA

  • 6.3. DIGITALNA SUBTRAKCIONA ANGIOGRAFIJA (DSA)

DIGITALNA SUBTRAKCIONA ANGIOGRAFIJA (DSA): Intravenska DSA izvodi se intravenskim ubrizgavanjem kontrasta i ne zahteva punkciju arterije, može da se radi ambulantno. Međutim, zahteva davanje velikog volumena kontrasta, ima sklonost za stvaranje artefakata (pri pokretu). Intravensko iniciranje velike količine liposolubilnog kontrasta nosi sobom opasnost od plućne embolije i alergije na kontrast. Rezolucija je nedovoljna za procenu konfiguracije plaka. Može se koristiti kao skrining metod, ali je i ovde ultrasonografija pouzdanija, jeftinija i manje rizična.13

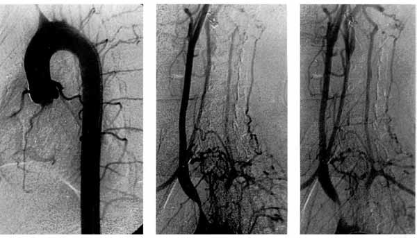
Intraarterijska DSA podrazumeva digitalnu subtrakcionu arteriografiju intraarterijskim (transfemoralnim) ubrizgavanjem kontrasta. Prednosti su: dobra rezolucija luka aorte i njegovih grana, mala količina kontrasta uz kateter malog kalibra, minimalni rizik. DSA ima mogućnost memorisanja elektronske slike i njenu ponovnu analizu sa procenom hemodinamskih parametara. Može se izvoditi ambulantno. Loše strane: slaba rezolucija u vizuelizaciji vertebrobazi- larnog sliva, u slučaju teških lezija supraaortalnih grana i intrakranijalne arterijske mreže. Teško je proceniti karakteristike koje određuju stabilnost i nestabilnost aterosklerotičnog plaka.

MSCT – precizna analizua  morfologije lezija  supraaortalnih arterija


Tipične glatke stenoze
dugih segmenata svih
supraaortalnih grana
(»znak makarona«).

Leva karotidna arterija
se puni retrogradno.