Skip to main content

DIJAGNOZA KAROTIDNE BOLESTI

  • 5.3. TRANSKRANIJALNA DOPPLER ULTRASONOGRAFIJA (TCD)

Obzirom da se cerebralne arterije nalaze intrakranijalno, zaklonjene kostima lobanje, transkranijalni ultrazvučni pregled je moguć kroz:

  • Transtemporalni pristup,
  • Subokcipitalni pristup i
  • Transorbitalni pristup.

Nakon identifikacije cerebralne arterije može se utvrditi: pravac protoka (oro ili retrogradan), brzina, hemodinamske karakteristike regionalnog protoka na osnovu spektralne analize talasa. Ovi parametri mogu da ukažu na:

  • Okluzivne i stenotične lezije na prednjoj, srednjoj i zadnjoj cerebralnoj arteriji. Srednja brzina protoka od 80 do 100cm/s ukazuje na prisustvo stenoze veće od 60% (arterioskleroza, arteritis itd),
  • Vazospazam, obično nakon subarahnoidalne hemoragije (srednja brzina veća od 200cm/s ukazuju na značajan vazospazam),
  • Cerabrovaskularna reaktivnost (sposobnost cerebralnih arterija za indukovanu vazodilataciju):
  • Hipoventilacija (zadržavanje daha) sa hiperkapnija, dovodi do povećanih brzina protoka,
  • Hiperventilacija snižava privremeno brzinu protoka,
  • Test sa acetazolamidom (intravenskim davanjem 1gr. acetazolamida) dovodi do vazodilatacije, imitirajući vazodilatatornog dejstva hiperkapnije.
  • Ispitivanje funkcionalnosti Willis-ovog poligona (prohodnost prednje i zadnje komunikantne arterije (ramus communicans anterior et posterior). Ako zadnja komnikantna arterija nije prolazna pooštravaju se indikacije za rekonstrukciju simptomatske vertebralne stenoze.
  • Detekcija embolizacije (intraoperativni monitoring tokom revaskularizacije mozga ili kardiohirurških operacija).
  • Detekcija hemodinamski uslovljene ishemije mozga tokom klemovanja arterija koje dovode krv do mozga pri revaskularizacionim operacijama. TCD se koristi kao kontinuirani intraoperativni monitoring da bi se indikovala selektivna upotreba protektivnog intraluminalnog shunt-a. Kriterijumi i praktična vrednost u rutinskoj upotrebi nisu još definisani

Transkranijalna Doppler-sonografija u slučaju karotidne bolesti najčeše pruža karakteristični nalaz. U ACM u slučaju karotidnih stenotičnih lezija registruje se sniženje brzine, snižen pulsatilni indeks i prigušenost talasa. Moguće je ispitivanje intrakranijalnog kolateralnog krvotoka.

Elektroencefalografija se koristi u diferencijalno dijagnostičke svrhe. Neurološki deficit uzrokovan cerebralnom ishemijom može biti sličan simptomima drugih neuroloških oboljenja. Kod ishemičkih lezija pozitivni nalazi se brzo povlače, dok se u slučaju moždanih tumora brzo pogoršavaju.

Neinvazivna kardiološka dijagnostika: Kardiološki pregled, EKG, aritmološko ispitivanje, testovi opterećenje, transtorakalni i transezofagealni ultrazvuk koristi se za definisanje lezija srca i luka aorte koje imaju emboligeni ili hemodinamski značaj u razvoju moždane ishemije. Simptomi globalne ishemije mozga podrazumevaju opštu slabost, vertigo, osećaj malaksalosti. Kardiološkim pregledom se prvo mora isključiti posturalna hipotenzija, kao i uzimanje vazoaktivnih lekova radi lečenja hipertenzije, što može dovesti do hipotenzije. Kardiološke pretrage mogu ukazati na poremećaje ritma (Holter monitoring) ili druge uzroke smanjenog minutnog volumena, kao što su stenoza aortnog zaliska (ehokardiografija) ili koronarna bolest (test opterećenja). Koronarna bolest je vrlo često udružena sa karotidnom bolešću (20%pacijenata), pa je često indikovana koronarografija sa arkografijom i prikazom karotidnih arterija. Hipertenziv- ni pacijent se često žali na povremene epizode slabosti. Hemodinamski uslovi za pojavu simptoma cerebralne ishemije obično se stiču u slučaju multiplih ekstenzivih arteriosklerotičnih lezija supraaortalnih arterija, u kombinaciji sa srčanim oboljenjima (aritmije, low cardiac output: srčana insuficijencija, ortostatska hipotenzija). Kardioembolizacija moždanih arterija je moguća kod: atrijalne fibrilacije, sick sinus sindroma, implantacije veštačke valvule, ekstrakorporalne cirkulacije pri operacijama na otvorenom srcu, reumatske mitralne stenoze, svežeg infarkta miokarda, prisustva tromba u levoj komori, atrijalnog miksoma, infektivnog endokarditisa, neishemičke dilatacione kardiomiopatije, kalcifikovane stenoze aorte, prolapsa mitralne valvule, protrudirajućeg ateroma na zidu aortnog luka. Ispitivač takođe mora da isključi metaboličke uzroke, slabost kao posledicu uzimanja lekova i psihijatrijske poremećaje.

Kompjuterizovana tomografija (CT) i nuklearna magnetna rezonansa (MRI) mozga pružaju mogućnost da u simptomatskih pacijenata isključimo druge intrakranijalne bolesti. Ako na CT ili MRI mozga postoji sveža zona infarkcije (CT pozitivan nalaz) rekonstruktivni zahvat na arterijama se mora odložiti mesec dana.

MRI ima veću senzitivnost nego CT u ranoj detekciji infarkta mozga (u okviru prvih 72 h), i bolju rezoluciju zadnje lobanjske jame (moždano stablo, mali mozak). CT ima bolju mogućnost diferenciranja patogeneze moždanog infarkta (ishemija/ hemoragija) kod akutnih lezija. Kod infarkta mozga CT i NMR mozga mogu da utvrde:

  • anatomsku lokalizaciju cerebralne lezije,
  • etiologiju (ishemija ili hemoragija),
  • komplikacije infarkta (edem, hernijacija itd).

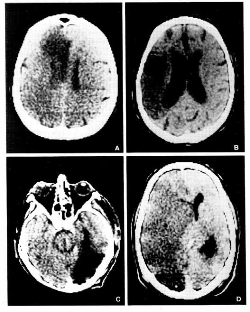
CT nalazi kod infarkta mozga:

  1. zbog okluzije prednje cerebralne arterije,

  2. srednje cerebralne arterije,

  3. zadnje cerebralne arterije.

  4. kompletne akutne okluzije unutrašnje karotidne arterije.

 

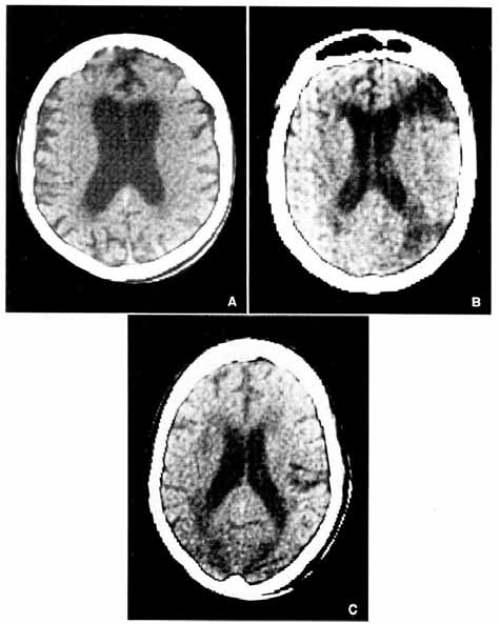
Kompjuterizovana tomografija mozga:

  1. Senilna demencija Alzheimer-o- vog tipa, sa atrofijom frontalnih lobusa i proširenjem interfemisferične fisure uz simetričnu dilataciju lateralnih moždanih komora,

  2. Multiinfarktna demencija bez znakova atrofije mozga, ali sa dve zone ishemične infarkcije u graničnim predelima (water- shed), između prednje i srednje cerebralne arterije, kao i između zadnje i srednje cerebralne arterije,

  3. Binswanger-ova subkortikalna arteri- osklerotična encefalopatija sa tipičnim znacima subkortikalne atrofije.


Fundoskopski nalazi:

Progresija embolusa iz oftalmičke arterije u centralne retinalne arteriole.

U prvom vertikalnom nizu prikazan je defekat vidnog polja koji se spušta kao zavesa i povlači se ostavljajući skotome.

Odgovarajuća zona retinalne ishemije prikazana je u drugom nizu.

Progresija emboluza u retinalnim arterijama prikazana je u trećem redu

Oftalmološki nalaz. Okluzija unutrašnje karotidne arterije se reperkutuje niskim perfuzionim pritiskom u oku. Nedovoljna perfuzija kroz oftalmičku arteriju daje ishemičku retinopatiju. Ako se nastavi progresija bolesti desiće se retinalna infarkcija sa kompletnim slepilom. Fundoskopija bi trebalo da predstavlja rutinski deo evaluacije pacijenta sa moždanom ishemijom. Hollenhorst-ova telešca, znaci regionalne ishemije ili infarkta retine mogu da pruže bitne podatke o vezi karotidne bolesti i ishemijskih lezija. Na očnom dnu pacijenta sa aorto-arteritisom se otkrivaju arteriovenske anastomoze, nalik vencu, koje odgovaraju originalnom opisu Takayasu-a.

Hirurška revaskularizacija mozga je jedina mogućnost kod bolesnika sa teškom ishemičkom retinopatijom zbog okluzije unutrašnje karotidne arterije. Karotidna rekonstrukcija povećava pritisak u retinalnim arterijama. Tako se prevenira retinalna infarkcija sa posledičnim slepilom i otklanjaju simptomi retinopatije.

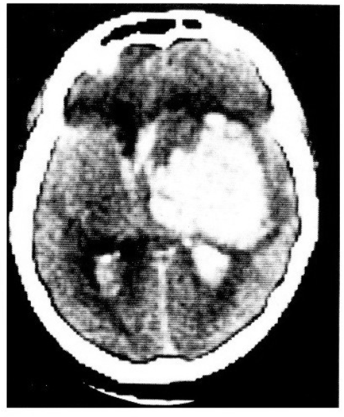
Komjuterizovana tomografija mozga:

Masivna hemoragija u predelu bazalnih ganglija (desno) sa krvarenjem u obe lateralne moždane komore.

Hollenhorst-ovo telašce:

Fragment holesterolskog plaka se na bifurkaciji retinalne arterije zapaža kao svetao embolus.

Tipičan nalaz za pacijenta sa ulcerisanim karotidnim plakom.