POVREDE ARTERIJA KOJE ISHRANJUJU MOZAK
17.1. DIJAGNOZA ARTERIJSKIH POVREDA
Dijagnostika mora biti brza. Bolje je odreći se sofisticiranih procedura i upustiti se u rizik nego izgubiti bolesnika. Indikaciono razmišljanje mora biti vrlo pragmatično: Da li se pacijent mora operisati? Ako mora, kojim pristupom?
Svaka duboka otvorena i svaka teška zatvorena povreda vrata, gornjeg torakalnog otvora i grudnog koša zahteva da se isključi lezija arterije. Ako postoji lezija arterije, znači da će operacija biti neophodna. U tom slučaju ne treba gubiti vreme na ispitivanje lezije. Treba nam samo onoliko detalja koliko je potrebno da se odabere hirurški pristup. Za to vreme anesteziolog reanimira pacijenta i uključuje monitoring vitalnih funkcija.
Dijagnoza povrede arterije postavlja se na osnovu: anamnestičkih potadaka o dejstvu trauma i kliničke orijentacije. Krvavljenje i stabilni hematom (“soft signs”) nagoveštavaju povredu arterija. Rastući hematom, teško krvavljenje, šok rezistentan na terapiju, odsustvo radijalnog pulsa i šumovi na vratu (“hard signs”) govore za povredu arterija koja zahteva hirurško zbrinjavanje.
-
Eksploracija rane daje informacije o vrsti rane i pravcu penetriranja kod otvorenih povreda i o mogućim pravcima delovanja tupe sile u slučaju zatvorene povrede. Inače, svaki hematom na vratu je upozorenje da je moguća lezija arterije.
-
Neurološka orijentacija o znacima ishemije mozga (stanje svesti, aktuelni i prolazni neurološki deficit). Neurološki ispadi postoje samo u trećini slučajeva u ranoj fazi i nisu pouzdan znak ako je povreda karotidne arterije udružena sa povredom glave i vratnog dela kičme. Šok zbog gubitka krvi, sa smanjenom perfuzijom mozga može dovesti do poremećaja svesti. CT i MRI mozga se obično mogu izbeći u najurgentnijoj fazi, a treba ih uraditi ako ima indikacija. Na tupe povrede karotidnih arterija treba da se pomišlja u slučajevima hiperekstenzivnih povreda vrata, posebno ako su praćene prelomom pršljenova. Posebna obazrivost potrebna je u slučajevima aksijalnih preloma pršljenova vratnog dela kičmenog stuba pošto ovu povredu može da prati oštećenje jedne ili više vratnih arterija čije manifestacije asociraju na zatvorene povrede glave.
- Lokalni i opšti znaci unutrašnjeg krvarenja. Rentgengrafija grudnog koša može da ukaže na hematotoraks, proširenje medijastinalne senke i srčane siluete (hematoperikard) ili znak pridruženih koštanih fraktura.
- Znaci ishemije gornjeg ekstremiteta se utvrđuju na osnovu boje i temperature kože, venskog punjenja i prisustva perifernih arterijskih pulsacija. Moramo imati u vidu da se znaci periferne ishemije mogu javiti i usled: (a) spoljašnje kompresija na arteriju (hematom, koštani fragmenti, previše zategnuti zavoji), (b) arterijskog spazma i (c) centralizacije opšte cirkulacije zbog šoka Ako repozicija koštanog preloma i/ili dislokacije sa korekcijom hipovolemije i lečenjem šoka ne dovedu do povlačenja znakova periferne ishemije u roku od 2-3 sata potrebno je da se insistira na preciznijoj dijagnostici.
- Kompjuterizovana tomografija grudnog koša može da otkrije pulsirajući hematom u gornjem medijastinumu, hematotoraks ili hematoperikard sa znacima lezija okolnih organa i kosti. Tek uredan CT nalaz isključuje potrebu za dopunskom angiografijom.
- Duplex sonografija pruža podatke o integritetu arterijskog zida, postojanju periarterijskog hematoma i hemodinamske parametre o even- tualnoj arterijskoj insuficijenciji. Duplex-sonografija pruža morfološ- ke i hemodinamske informacije o stanju dostupnih segmenata karotidne, subklavijalne i vertebralne arterije. Savremenim ultrazvučnim skenerima moguće je postići dijagnostičke rezultate čija pouzdanost približava ovaj neinvazivni metod arteriografiji (senzitivnost oko 91%, specifičnost oko 99%).





Spektralna analiza. Traumatska disekcija zajedničke karotidne arterije, sa počet- nom trombozom lažnog lumena

Traumatska disekcija sa muralnim hematomom unutrašnje karotidne arterije koje je bila elongirana po tipu kinkinga.
Posttraumatska disekcija intraosealnog (V2) segmenta vertebralne arterije, praćena fokalnim simptomima posteriorne ishemije (mikroembolizacija).
- Arteriografsko ispitivanje je indikovano ako klinički pregled i ultrazvučna dijagnostika nisu u stanju da isključe arterijsku leziju, naročito ako se radi o zatvorenim povredama pri dejstvu tupe sile ili deceleracionim povredama. Arteriografija je od posebne koristi kod politraumatizovanih bolesnika sa mogućim lezijama aorte i njenih torakalnih grana. Najbolje je uraditi MSCT ili transfemoralnu arteriografiju, sa selektivnim prikazom arterijskog segmenta koji je suspektan. Arteriografija može da prikaže mesto krvarenja, prisustvo tromba u laceriranoj arteriji ili arteriovensku komunikaciju.
Arteriografija treba da pokaže sve supraaortalne grane koje dovode krv do mozga. Dobro je da se uz karotidne i vertebralne arterije vizueliziraju i cerebralne arterije, jer je u osoba sa tupim povredama vrata često pridružena trauma glave.
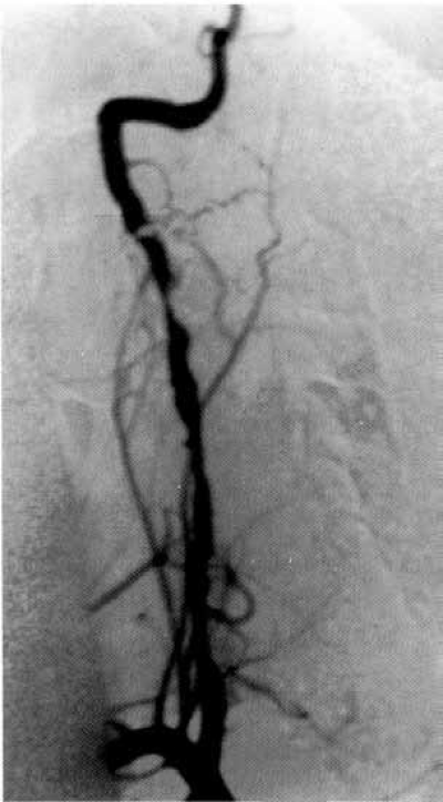
Traumatska disekcija zajedničke karotidne arterije, zbog rascepa intime, sa početnom trombozom lažnog lumena.
Indikacije za arteriografiju su:
- ako CT nalaz ne objašnjava kliničku sliku a pravac povrede je u projekciji arterija,
- u bolesnika očuvanog mentalnog stanja sa mono-ili hemiparezom,
- ukoliko postoje teže povrede vrata i neurološki ispadi, a i
- kod preloma baze lobanje sa abnormalnim mentalnim stanjem
Kod povreda koje podrazumevaju otežan pristup arterijama (resekcija klavikule odn. mandibulotomija) prednost se daje arteriografiji. Ako je povreda u zoni koja je dostupna hirurškoj eksploraciji cervikalnim pristupom prednost ima hirurška eksploracija. Arteriografija se može primeniti jedino u klinički stabilnih bolesnika.
