
ENDOVASKULARNA HIRURGIJA
A few bad reasons for doing something neutralise all the good reasons for doing it.
Bertrand Russel
Perkutane endovaskularne tehnike su manje traumatične za pacijenta i primenjivije u pacijenata sa visokim rizikom. Endovaskularna hirurgija nije limitirana samo na karotidne arterije, već omogućava revaskularizaciju supraaortalnih grana.
Međutim, perkutana transluminalna balon angioplastika (Percutaneous Transluminal Angioplasty PTA) ima limitirajuće faktore zavisno od morfologije lezije i starosti pacijenta
Tehnika izvođenja perkutane transluminalne dilatacije (PTA)
Najbolje mesto za arterijsku punkciju kod PTA je a.femoralis comunis, zbog malog broja lokalnih komplikacija i mogućnosti intervencije na svim supraaortalnim granama. Ako postoji okluzivna ili aneurizmatska bolest aorto- femoralnog segmenta mora se tražiti druga alternativa (a.axillaries ili a. brachalis).
Kad se kateterom do supraaortalnih grana prilazi iz arterija gornjih ekstremiteta mogućnosti za njegovu manipulaciju su ograničene.
Kod plasiranja stenta (promer 7F ili 8F) nekad je bolje hirurški ispreparisati brahijalnu arteriju, pošto je verovatnoća lokalnih arterijskih komplikacija velika. Lokalne komplikacije na mestu punkcije su disekcija, okluzija, pseudoaneurizma, retroperitonealni hematom (1-3%). Ako se punktira aksilarna ili brahijalna arterija komplikacije su češće (3-18%). Postoji mogućnost pristupa za PTA direktnom punkcijom a.carotis communis.
Kateterizacija po Seldinger-u: Nakon punkcije kroz iglu, ubodenu u arteriju, uvodi se žica vodilja (Guide wire). Ona je tanja od 1 mm, presvučena je mate- rijalom koji je čini glatkom. Vodič ostaje u arteriji, dok se igla izvadi. Vodič je dugačak, veći deo je van arterije, i služi za manipulaciju. Da bi se preko vodiča, jedan kateter mogao uklanjali a drugi uvoditi. Na vodič se navuče dilatator, samo da bi se proširio kanal i olakšalo dalje manipulisanje. Dilatator se ukloni, a na vodič se navlači šira cevčica (sheath, košuljica). Na svom spoljašnjem kraju „sheath” ima valvulu-ventil, koja sprečava da krv pored žice ističe, dok istovremeno ne predstavlja prepreku da se uvlače kateteri različitih namena. Naime, da bi se ušlo u teško pristupačne arterije potrebni su kateteri čiji su vrhovi specijalno oblikovani (selektivna i supraselektivna kateterizacija).

Punkcija femoralne arterije i perkutano uvođenje katetera u arterijski sistem po Seldinger-u.

Nakon uvođenja košuljice (sheath), preko vodiča, možemo u arteriju uvoditi katetere različitih promera i namena.

Preko specijalnog nastavka može se povremeno inicirati kontrast za proveru položaja katetera.
Transluminalna dilatacija arterije balonom: Seldinger-ovom tehnikom u arteriju se uvodi kateter, na čijem vrhu je balon za dilataciju. Vodičem se prođe suženo mesto. Potom se na žicu navuče kateter sa balonom. Naduvavanje balona je automatizovano sa zadatim nivoom pritiska. Dilatacioni balon za angioplastiku može da se naduva čak i preko 16 atmosfera. (guma na autu se duva na 2 atmosfere). Balon se najčešće duva na desetak atmosfera. Pritisak se održava nekoliko minuta da bi se pocepani arterioskleotični plak zadržao u dilatiranom položaju.Tokom endovaskularne procedure bez cerebralne protekcije postoji velika opasnost od embolizacije distalnih cerebralnih arterija. Protekcija mozga se može izvesti:
- Tehnikom distalne okluzije i
- Tehnikom proksimalne okluzije.
PTA bez cerebralne protekcije. Incidenti tokom endovaskularnih procedura uglavnom se dešavaju zbog embolizacije. PTA sa protektivnim balonom zahteva kateterizaciju arterije (sa možda heterogenim plakom ili prizidnom trombozom), upotrebom katetera većeg promera. Manipulacija većim kateterom na terenu tromboziranog trošnog plaka stvara mogućnost za lansiranje embolusa. Argumenti za PTA karotidnih arterija bez protekcije su:
Kraće vreme boravka katetera na rizičnom terenu i
Kraća okluzija arterije koja dovodi krv do mozga.
Perkutana transluminalna balon-angioplastika;
(a) Kroz stenozu se prolazi vodičem,
(b) Balon-dilatacioni kateter se navodi preko vodiča, kroz stenozu,
(c) Inflacija balona i dilatacija rastezanjem arterije uz utiskivanje nekompresibilnog materijala u arterijski zid,
(d) Povlačenje dilatacionog katetera uz ostavljanje vodiča za kon- trolnu arteriografiju.

Cerebralna protekcija proksimalnom okluzijom. Protektivni okluzivni balon se nalazi proksimalnije od balona za dilataciju. Inflacija protektivnog balona će zaustaviti ortogradni tok krvi, pa ako dođe do otkačinjanja emboligenog materijala, zbog retrogradnog protoka trebalo bi da distalna embolizacija bude nemoguća. Na kraju se debris i trombotički materijal ispiraju u spoljašnju karotidnu arteriju. Međutim, pitanje je:
- Da li se blokiranjem ortogradnog protoka arterije on zaista pretvara u retrogradni? Bočne grane preko kolateralnog sistema mogu održavati, skroman ali dovoljan otogradni protok.
- Da li će broj ishemičnih incidenata biti veći jer se okludira zajednička karotidna arterija, a ne samo unutrašnja?
- Šta raditi kod ostijalnih stenoza supraaortalnih grana?
- Najveći problemi na koje se nailazi tokom PTA sa protekcijom mozga su:
Lumen u nivou stenoze može biti suviše tesan za prolazak dvostrukog balon- katetera (balon za dilataciju i balon za protekciju).
Intolerancija balon okluzije unutrašnje karotidne arterije sa simptomima cerebralne ishemije javlja se u pacijenata imaju multiple stenotične lezije supraaortalnih grana a imali su epizode TIA.
Pojava embolizacije na transkranijalnom Doppleru (a.cerebri media) tokom ispiranja unutrašnje karotidne arterije, pre deflacije protektivnog balona. Moguće je da (mikro) embolusi prolaze kroz kolateralne grane sistema spoljašnje karotidne arterije.

Perkutana transluminalna balon-angioplastika;
(a) Kroz stenozu se prolazi vodičem, (b) Balon-dilatacioni kateter se navodi preko vodiča, kroz stenozu, (c) Inflacija balona i dilatacija rastezanjem arterije uz utiskivanje nekompresibilnog materijala u arterijski zid, (d) Povlačenje dilatacionog katetera uz ostavljanje vodiča za kon- trolnu arteriografiju.

Intraproceduralna prevencija cerebralne embolizacije.

Emboligeni materijal koji se nakupio u protektivnoj

mrežici pri implantaciji karotidnog stenta.
Implantacija stenta: Stentovi su metalni cilindri mrežaste strukture, dizajnirani tako da održavju lumen arterije otvorenim (nakon dilatacije). Pošto je arterija proširena, balon-kateter se izduva i izvadi. Ako kontrolna arteriografija ukaže na prisustvo značajne rezidualne stenoze indikovana je implantacija stenta. Plasira se kateter na čiji balon za dilataciju je prethodno navučen stent. Kada se položaj stenta, uz pomoć markera u balonu tačno odredi prema suženju koje želimo da dilatiramo, balon se naduva. Zajedno sa balonom se širi i stent. Kalibar stenta je onaj koji ima maksimalno rastegnut balon. Sada se balon izduva i izvuče a stent ostane utisnut u zid krvnog suda, kao armatura, koja drži napukle delove zida arterije dilatirane. Ovakva procedura, u dva akta, zove se “sekundarni stenting”.
Procedura se može skratiti ako se na balonu kojim se dilatira stenoza već nalazi stent, tako da se pri širenju krvnog suda, istovremeno postavlja i stent. Ovo je “primarni stenting”. Prednost primarnog stenta je redukcija embolijskog rizika mozga zbog zadržavanja emboligenog materijala (debris, tromb) ispod stenta4. To je dokazano primenom transkranijalnog Dopplera tokom stentinga.
Postoje dve vrste stentova, prema načinu implantacije: stent koji se širi balonom (Baloon-Expandable) i ”samošireći” stentovi (Self-Expandable).
Dve mogućnosti za plasiranje stenta:
- Primarni stenting je plasiranje (deployment) stenta, a zatim dilatacija stenoze balonom preko stenta.
- Sekundarni stenting zači da se prvo uradi endoluminalna dilatacija. Ako zaostane rezidualna stenoza ili intimalni flap plasira se stent.
Pod pritiskom naduvanog balona dolazi do sabijanja plaka, ili do prskanja kontinuiteta prstenastog plaka, uz disekciju zida arterije. Kod disekcije prska i medija, a cirkulišuća krv dolazi do adventicije dilatiranog krvnog suda, što stvara mogućnost za prizidnu trombozu. Rezidualna stenoza, disekcija i manje neravnine na mestu dilatacije uzrokuju turbulenciju krvi koja može biti uzrok komplikacija.
- Rane komplikacije su disekcija, akutna prizidna tromboza i akutna trombotična okluzija tek dilatirane arterije.
- Kasne komplikacije su proliferacija intime i fibroznog tkiva sa nastankom restenoze, neointimalne hiperplazije, progresije bolesti, reokluzija
Stent karotidna angioplastika se pojavljuje kao potencijalna alternativa za karotidnu endarterektomiju. Endovaskularne procedure mogu imati prednost u slučaju pacijenata sa velikim opštim rizikom, koronarnom bolešću, kao i simultanim lezijama više arterija koje dovode krv do mozga. Prednost bi moglo biti izbegavanje lezija kranijalnih nerava, koje se kod karotidne endarterektomije, doduše kao privremeni problem javljaju u oko 7% slučajeva.
Formiraju se multi-disciplinarni timovi koji uključuju: neurologa, angiologa, neuro-radiologa, vaskularnog hirurga i intervencionistu (radiolog i vaskularni hirurg izvode edovaskularne intervencije).
Karotidna endarterektomija (CEA) je pouzdan i efektivan tretman simptomatske i asimptomatske stenoze karotidnih arterija. Tokom poslednje decenije endovaskularni tretman sa stentiranjem (CAS) pojavio se kao alteranativa karotidnoj endarterektomiji.
Dobre strane karotidne stent-angioplastke su:
- mogućnost primene neposredno pre i/ili posle drugih velikih operacija (koronarna revaskularizacija),
- mogućnost endovaskularne intervencije u pacijenata sa teškim koronarnim lezijama,
- rešavanje restenoza nakon karotidne endarterektomije,
- korekcije hirurški nepristupačnih lezija (visoke tandem lezije),
- moguća primena kod fibromuskularne displazije, arteritisa i postiradijacionog arteritisa.

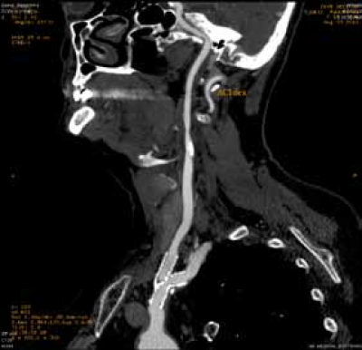
Perkutana transluminalna angioplastika sa stentom zbog aterosklerotične stenoze (90%) desne subklavijalne i desne vertebralne arterije

Dislokacija aterosklerotičnog plaka pri implantaciji aortnog stent grafta, sa stenozom leve zajedničke karotidne arterije u koju je transponirana leva subklavijalna arterija u sklopu hybrid procedure.

Dilatacija orificijuma leve zajedničke arterije sa implantacijom stenta.
Limitirajući faktore karotidne angioplastike:
- Loši rezultati u bolestnika starijih od 70 god.
- Nije moguća PTA okluzivnih lezija,
- PTA ulcerisanog (nestabilno) plaka ima veliki rizik od embolizacije,
- PTA ekscentričnog kalcifkovanog plaka daje loše rezultate,
- Koegzistirajući kinking, coiling i aneurizma se ne mogu otkloniti PTA.
Velike prospektivne randomizovane kliničke studije (CAVATAS, SAPPHIRE, EVA-3S, SPACE, ICSS i druge) su poredile rezultate CEA i CAS.
Rezultati studija uglavnom favorizuju karotidnu endarterektomiju kao metodu izbora u lečenju karotidne stenoze osim, u posebnim slučajevima, što je prikazano u „ESVS guidelines“ i „SVS guidelines“ za lečenje karotidne stenoze.
Većina autora rezultate CAVATAS (Carotid And Vertebral Artery Transluminal Angioplasty Study) studije završene 2001. godine danas ne uključuje u analize. Naime, samo 26% pacijenata koji su randomizovani za endovaskularni tretman je stentirano. Većina pacijenata je tretirana samo balon angioplastikom, što ne odgovara savremenim standardima endovaskularnog tretmana karotidne stenoze.
SAPPHIRE (Stenting and Angioplasty with Protection in Patients at High Risk for Endarterectomy) studija je publikovana 2004. Ovo je jedina među navedenim studijama koja je pokazala da CAS nije inferioran u odnosu na CEA u lečenju karotidne stenoze.12 U studiju je uključeno 334 pacijenta u 28 ustanova, sa stenozom karotidne arterije i visokim rizikom za operativno lečenje. Glavni razlozi visokog rizika su bili koronarna bolest i starost preko 80 godina. Većina (71%) uključenih pacijenata bili su asimptomatični. Danas se smatra da uključivanje samo asimptomatskih, visoko rizičnih pacijenata dovodi do pristrasnosti („bias“) u studijskom dizajnu.
EVA-3S (Endarterectomy Versus Angioplasty in Symptomatic Severe carotis Stenosis) studija uključila je 527 pacijenata sa visokostepenom simptomatskom stenozom u 30 centara u Francuskoj. Rezultati su publikovani 2006. Učestalost neuroloških komplikacija u grupi randomizovanoj za CAS bila je više nego dva puta veća nego u CEA grupi (9,6% prema 3,9%) zbog čega je studija prekinuta, iako je planirano uključenje oko 4000 pacijenta. Istraživači uključeni u studiju nastavili su praćenje pacijenata i publikovanje dugoročnih rezultata.
U SPACE (Stent-supported Percutaneous Angioplasty of the Carotid artery versus Endarterectomy) studiju uključeno je 1200 simptomatskih pacijenta u 35 centara u Švajcarskoj, Austriji i Nemačkoj. Rezultati su publikovani 2006. Kao i kod EVA-3S, rezultali su favorizovali CEA kao metodu izbora u lečenju karotidne stenoze u većini kliničkih situacija. Ova studija je, statistički slaba za donošenje definitivnih zaključaka, jer je kao i prethodne prekinuta ranije. Iako je embolijska protekcija preporučena, ona je upotrebljena kod manjeg broja pacijenata.
Rezultati ICSS (International Carotid Stenting Study) studije publikovani su u martu 2010. Ova studija uključila je 1713 simptomatskih pacijenata i to 855 randomizovanih za CAS i 858 randomizovanih za CEA. U periodu od randomizacije i praćenja od 120 dana bilo je 4% infarkta mozga sa invaliditetom ili smrti u CAS grupi, prema 3,2% u CEA grupi. Incidenca infarkta mozga, smrti ili infarkta miokarda bila je 8,5% u CAS grupi, u poredjenju sa 5,2% u CEA grupi (p=0.006). Studija je pokazala da CEA treba da ostane tretman izbora za pacijente bez povišenog hirurškog rizika.
Meta analiza. Istraživači iz EVA-3S, SPACE i ICSS studija su, prema prethodno postignutom dogovoru, publikovali rezultate metaanalize ukupnog broja pacijenata uključenih u ove tri studije.8,13 Rezultati uključuju analizu podataka 30 dana nakon randomizacije (per protokol (PP) analysis) i 120 dana nakon randomizacije (intention to treat (ITT) analysis). Analiza uključuje ukupno 3433 pacijenta.
Rizik od infarkta mozga ili smrtnog ishoda veći je u CAS nego u CEA grupi. Ova razlika potiče pre svega od razlike u učestalosti manjih infarkta mozga, bez invaliditeta (non disabling stroke) koja je duplo veća u CAS nego u CEA grupi. U korist hirurgije govori i učestalost pojave infarkta mozga sa invaliditetom ili smrti (disabling stroke or death). Infarkt miokarda je redak i javlja se češće u CEA grupi. Pojava hematoma na vratu posle CEA češća je od pojave hematoma u preponi nakon CAS.
Značajna interakcija primećena je između starosti pacijenata i pojave komplikacija. Rizik pojave infarkta mozga ili smrti u pacijenata starijih od 70 godina je dvostruko veći u CAS grupi. Slična pojava zabeležena je i u svakoj studiji pojedinačno, iako je interakcija značajna samo u SPACE studiji. Ovi rezultati uključeni su u aktuelne vodiče za lečenje karotidne bolesti.
Rezultati meta analize potvrđuju prethodne stavove o CEA kao metodi izbora u lečenju simptomatske karotidne stenoze, uz CAS kao metodu rezervisanu za simptomatske pacijente rizične za hirurgiju, recidive stenoza nakon CEA i stenoze nakon zračenja.
CREST (Carotid Revascularisation Endarterectomy vs. Stenting Trial) studija, poslednja među studijama koje porede CAS i CEA, publikovana je jula 2010. Studija je sprovedena u 108 centara u SAD i 9 centara u Kanadi. Sertifikaciju za učešće dobilo je 477 hirurga (uslov: više od 12 procedura godišnje sa manje od 3% komplikacija i smrti za asimptomatske i manje od 5% za simptomatske pacijente) i 224 interventnih specijalista sertifikovanih u odnosu na broj i rezultate prethodnih CAS. Korišćena je jedna vrsta stentova i jedna vrsta protektivnih filtera.15 U studiju je uključeno 2502 simptomatska i asimptomatska pacijenta koji su randomizovani u CAS grupu (1262 pacijenta) i CEA grupu (1240 pacijenata). Primarni neželjeni događaj koji je praćen bio je infarkt mozga, infarkt miokarda ili smrt tokom periproceduralnog perioda, kao i tokom 4 godine nakon randomizacije. Sekundarni cilj bio je procena efekta tretmana u odnosu na simptomatski status, pol i starost. CAS je u 96,1% slučajeva sproveden uz embolijsku protekciju.15 Tokom postproceduralnog perioda (30 dana od procedure) incidencija primarnog neželjenog događaja bila je 5,2% u CAS grupi i 4,5% u CEA grupi, iako se učestalost pojedinačnih događaja razlikovala izmedju grupa: smrt 0,7% prema 0,3%, (p=0,18); infarkt mozga 4,1% prema 2,3%, (p=0,01); infarkt miokarda 1,1% prema 2,3% (p=0,03). Procenjena incidencija primarnog neželjenog događaja nakon 4 godine se ne razlikuje između grupa ( CAS 7,2%, CEA 6,8%).
Detektovana je interakcija između starosti i efekta tretmana, sa granicom na 70 godina starosti. CAS je efikasniji kod mlađih pacijenata, a CEA kod starijih.8 Kada se posmatra samo grupa asimptomatskih pacijenata, incidenca infarkta mozga i smrti nakon CAS bila je 2,5% , a nakon CEA 1,4%, što je niže nego u prethodno publikovanim studijama.15 CREST studija publikuje rezultate koji su najbolji od svih dosadašnjih randomizovanih kontrolisanih studija i za endovaskularni i hirurški tretman karotidne bolesti. To ukazuje na napretke vaskularne i endovaskularne tehnologije.
Stariji pacijenti imaju bolji ishod nakon CEA nego nakon CAS. Povećanirizikod CAS kod starijih pacijenata verovatno je povezan, sa izraženijom aterosklerozom luka aorte, većom vulnerabilnošću plaka, tortuozitetom i izraženim kalcifikatima na krvnim sudovima.
Incidencija infarkta mozga tokom procedure veća je u CAS grupi, dok je incidenca infarkta miokarda veća u CEA grupi.15 Ograničenja studije su prvo sertifikacija, koja za posledicu ima da se rezultati najverovatnije mogu primeniti samo na slično kvalifikovane operatore. Upotreba samo jedne vrste stent sistema limitira primenu rezultata na druge sisteme. Studija nije uključivala grupu medikamentozno lečenih, što sprečava generalizaciju rezltata.
Rezultati do sad publikovanih randomizovanih kontrolisanih studija koje su poredile CAS i CEA uklonili su CAS iz fokusa tretmana karotidne stenoze. Entuzijazam vezan za interventno lečenje karotidne bolesti.
Rezultati do sada publikovanih randomizovanih kontrolisanih studija favorizuju karotidnu endarterektomiju kao metodu izbora u lečenju karotidne bolesti.
Karotidna angioplastika kod asimptomatskih pacijenata
Trenutno se angioplastika karotidnih arterija savetuje samo kod asimptomatskih pacijenata u centrima sa velikim brojem procedura i dokumetovano malom stopom periproceduralnog moždanog udara i smrti ili u sklopu kontrolisanih kliničkih studija.

Prizidni tromb nakon implantacije karotidnog stenta. Cerebralna protekcija ne štiti od kasnije embolizacije.
Benefit angioplastike karotidnih arterija kod asimptomatskih pacijenata bi tek trebalo da se dokaže.
Terapijski izbori u odnosu na vaskularne i lokalne anatomske karakteristike
Angioplastika karotidnih arterija je indikovana u slučaju oštećenja kontralateralnog laringealnog nerva, prethodne radikalne disekcije vrata, cervikalne iradijacije, nakon prethodne endarterektomjie (restenoza), kod visoko položene karotidne bifurkacije ili intrakranijalne ekstenzije karotidne lezije.
Angioplastika karotidnih arterija se ne preporučuje u pacijenata sa ekstenzivnim aterosklerotskim promenama aorte i supraaortnih grana, kalcifikacijama i tortuozitetima
Nerđajući čelik od kojeg su napravljeni stentovi (stainless still) nije inertan, kao svaki drugi strani materijal on je trombogen. Trombogenost stentova je uzrok tromboze i reokluzije arterije. Da bi se smanjila trombogenost, stent se može impregnirati: heparin, fosforilholin itd. Da bi se redukovala hiperplazija neointime koristi se dvostruka antitrombocitna i rana statinska terapija.
Poboljšanje ishoda nakon angioplastike karotidnih arterija:
- Angioplastiku karotidnih arterija (CAS) bi trebalo sprovesti pod dvojnom antitrombocitnom terapijom sa apirinom i klopidogrelom.
- Primenu dvojne antitrombocitne i statinske terapije treba započeti pre angioplastike i nastaviti 3 meseca nakon procedure.
- Treba sprovesti programe treninga praktičnih veština karotidne angioplastike.
- Uređaji za cerebralnu protekciju su neophodni.
- Postojeći tipovi cerebralne protekcije imaju svoje specifične indikacije tokom karotidnih intervencija.
- Očekujemo nove, usavršene generacije stentova.
Stent graftovi se implantiraju endoluminalnim procedurama, a služe za oblaga- nje aneurizme ili traumatske lezije (krvarenje) arterije. Spoljna strana stentovanog grafta treba da omogući urastanje okolnog tkiva i dobro fiksiranje za zdravi deo krvnog suda. Unutrašnja strana mora biti glatka i netrombogena da bi održavala dugotrajnu prohodnost grafta. Naročita korist od ove metode mogla bi se očekivati u traumatologiji. Politraumatizirani pacijent sa krvarećom arterijskom lezijom najjednostavnije i najbrže se može zbrinuti implantacijom graft-stenta. Hirurško lečenje postaje nepotrebno, gubitak krvi i stvaranje hematoma odmah prestaje.